Descubra o que é bastonetes no exame de sangue e por que esse detalhe pode revelar infecções agudas que outros indicadores ignoram.
Bastonetes no hemograma: os soldados imaturos que alertam sobre infecções
Vamos combinar: quando você recebe um exame de sangue, os nomes técnicos podem parecer um mistério.
Mas os bastonetes são justamente aquela célula que revela o que está acontecendo AGORA no seu corpo.
Eles são neutrófilos ainda em formação, liberados pela medula óssea como reforço de emergência.
A verdade é a seguinte: em condições normais, eles representam apenas até 6% dos leucócitos.
Quando esse número sobe, é sinal de que seu sistema imunológico está em alerta máximo.
O hemograma mede essa quantidade exata, e cada laboratório tem seus próprios valores de referência.
Olha só o detalhe: bastonetes maduros se transformam em neutrófilos segmentados, as células de defesa plenamente funcionais.
Por isso, eles são um termômetro preciso da atividade da sua medula óssea.
Um aumento significativo indica infecção aguda ou inflamação severa – o famoso ‘desvio à esquerda’.
Pode confessar: você já deve ter visto esse termo no resultado e ficado na dúvida.
Agora você entende que são esses soldados imaturos correndo para a linha de frente da batalha.
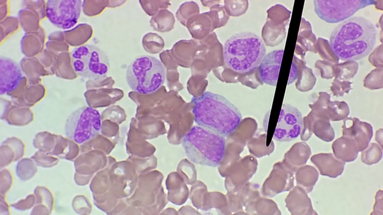
Em Destaque 2026: Bastonetes são formas jovens e imaturas de neutrófilos, um tipo de glóbulo branco crucial na defesa do organismo contra infecções.
O Que São Bastonetes e Para Que Servem?
Vamos combinar: quando a gente recebe o resultado de um exame de sangue, a primeira coisa que passa pela cabeça é: “E agora? O que tudo isso significa?”. E lá estão eles, os famosos bastonetes, que podem causar uma certa confusão. Mas olha só, entender o que são essas células é mais simples do que parece e pode dar um recado importantíssimo sobre a saúde do seu corpo.
Pode confessar, a gente sempre foca nos glóbulos brancos, vermelhos, plaquetas… mas os bastonetes são peças-chave nesse quebra-cabeça. Eles são, na verdade, uma etapa inicial dos neutrófilos, que são os nossos soldados de linha de frente contra invasores como bactérias e fungos.
A presença deles no exame de sangue é um termômetro da atividade do nosso sistema imunológico. Um aumento pode ser um sinal de alerta, indicando que o corpo está lutando contra algo mais sério. A verdade é que eles são um indicador direto da resposta da medula óssea a um chamado de emergência.
| Característica | Detalhe |
|---|---|
| O que são? | Neutrófilos imaturos, formas jovens de neutrófilos. |
| Função principal | Defesa do corpo contra infecções e inflamações. |
| O que um aumento indica? | Possível infecção aguda ou inflamação severa (desvio à esquerda). |
| Quantidade normal | Pequena, geralmente até 6% ou 10% dos leucócitos. |
| Níveis baixos/zero | Normalmente não são preocupantes clinicamente. |
| Origem | Medula óssea, liberados em resposta a infecções. |
| Onde são avaliados? | No hemograma completo. |
| Evolução | Amadurecem e se tornam neutrófilos segmentados. |
O Que São Bastonetes no Exame de Sangue?

Basicamente, bastonetes são neutrófilos que ainda não atingiram a maturidade completa. Pense neles como os recrutas do exército do seu corpo. Eles estão prontos para entrar em ação, mas ainda estão em treinamento na medula óssea.
Quando o corpo detecta uma invasão ou uma inflamação mais intensa, a medula óssea acelera a produção dessas células de defesa. Ela libera os bastonetes no sangue para que eles possam amadurecer e combater o problema.
A contagem de bastonetes faz parte do hemograma, um dos exames mais comuns e completos que existem. Ele avalia diversas células do sangue, e a quantidade de bastonetes é um dos parâmetros observados para entender o que está acontecendo no seu organismo.
Neutrófilos em Bastão: Formas Jovens e Sua Importância
Os neutrófilos em bastão, ou bastonetes, são essenciais para entendermos a dinâmica da resposta imune. Eles representam um estágio imaturo na linhagem dos neutrófilos, que são um tipo de glóbulo branco fundamental na nossa defesa.
A importância deles reside justamente em serem um sinal precoce de que o sistema de defesa está sendo ativado intensamente. Se o corpo está sob ataque, a medula óssea não hesita em liberar essas formas jovens para reforçar o contingente.
Entender que são formas jovens nos ajuda a compreender por que um aumento pode indicar uma situação mais aguda. Eles são liberados antes mesmo das formas mais maduras estarem prontas, mostrando a urgência do momento.
Desvio à Esquerda: O Que Significa no Hemograma?

Quando você ouve falar em “desvio à esquerda” no laudo do seu hemograma, pode ter certeza que isso se refere diretamente aos bastonetes. Esse termo técnico é usado quando há um aumento significativo na quantidade dessas formas jovens de neutrófilos.
A nomenclatura “à esquerda” vem da forma como os resultados do hemograma são tradicionalmente organizados em gráficos. As células mais jovens ficam nas posições iniciais, à esquerda. Portanto, um desvio para a esquerda indica uma maior presença dessas células imaturas circulando no sangue.
Um desvio à esquerda acentuado geralmente aponta para uma infecção aguda, uma inflamação severa ou até mesmo outras condições mais complexas. É um sinal claro de que a medula óssea está trabalhando a todo vapor para suprir a demanda do corpo por células de defesa.
Como Interpretar a Contagem de Bastonetes no Sangue
Interpretar a contagem de bastonetes exige um olhar atento do médico. Não é apenas um número isolado, mas sim um dado que precisa ser correlacionado com o quadro clínico geral do paciente.
O hemograma completo, onde a contagem de bastonetes é feita, avalia a quantidade total de leucócitos (glóbulos brancos) e a proporção de cada tipo. Um aumento nos bastonetes, especialmente se acompanhado por um aumento geral dos leucócitos, reforça a ideia de um processo infeccioso ou inflamatório em curso.
É crucial lembrar que valores de referência podem variar entre laboratórios. Por isso, a comparação com os valores de referência do seu próprio laudo e a avaliação médica são indispensáveis para uma interpretação correta. Saiba mais sobre o que são bastonetes no exame de sangue e sua função.
Níveis Normais de Bastonetes: Valores de Referência

Em condições normais, a quantidade de bastonetes no sangue é bem pequena. Geralmente, eles representam uma porcentagem mínima do total de leucócitos, algo em torno de 6% a 10%.
A maioria dos laboratórios considera um valor de referência para bastonetes de 0% a 5% ou 0% a 10% dos leucócitos totais. Valores dentro dessa faixa são considerados normais e não costumam gerar preocupação médica.
É importante ressaltar que esses valores são apenas uma referência. O que é considerado normal pode ter pequenas variações dependendo do laboratório que processou o seu exame. Sempre confie na interpretação do seu médico.
Por Que os Bastonetes Aumentam no Hemograma?
O aumento na contagem de bastonetes é um chamado de atenção do seu corpo. Ele indica que a medula óssea está liberando essas células imaturas em maior quantidade para combater alguma ameaça.
As causas mais comuns para esse aumento são infecções bacterianas agudas, como uma pneumonia ou uma infecção urinária. Processos inflamatórios severos, como uma pancreatite ou uma queimadura extensa, também podem levar a esse “desvio à esquerda”.
Além disso, em algumas situações, como após cirurgias, traumas ou até mesmo em certos tipos de câncer, pode haver um aumento nos bastonetes. O contexto clínico é fundamental para entender o motivo.
A liberação acelerada de bastonetes é um mecanismo de defesa rápido. É a medula óssea respondendo a um estresse agudo no organismo, tentando garantir que haja células de defesa suficientes para lidar com o problema.
Bastonetes Baixos: Causas e Implicações Clínicas
Se um aumento nos bastonetes pode ser um sinal de alerta, o que dizer de níveis baixos ou até mesmo zero? A boa notícia é que, na maioria das vezes, bastonetes baixos ou ausentes não são clinicamente preocupantes.
Isso simplesmente significa que a medula óssea não está sob pressão para liberar formas jovens de neutrófilos. Seu sistema de defesa está em um estado de repouso, sem sinais de infecção aguda ou inflamação severa que exijam essa resposta imediata.
No entanto, em casos muito raros e específicos, como em certas condições de imunodeficiência ou após tratamentos como quimioterapia, a medula óssea pode ter sua capacidade de produção de células comprometida. Nesses cenários, a ausência de bastonetes pode ser um reflexo de uma medula óssea hipoativa. Para entender melhor as causas de bastonetes baixos, consulte informações detalhadas.
A Evolução do Bastonete para Neutrófilo Segmentado
O bastonete é apenas uma fase na vida de um neutrófilo. Ele não fica imaturo para sempre. Dentro da corrente sanguínea ou nos tecidos, ele continua seu processo de maturação.
Com o tempo, o bastonete desenvolve um núcleo segmentado, com lobos bem definidos. Essa forma madura é o que chamamos de neutrófilo segmentado. É ele o principal responsável por fagocitar (engolir e destruir) bactérias e outros patógenos.
Essa transformação é um processo natural e esperado. Quando a infecção ou inflamação diminui, a medula óssea reduz a liberação de bastonetes e o número de neutrófilos segmentados no sangue tende a voltar aos níveis normais. É a linha de produção se normalizando após a emergência.
O Veredito do Especialista: Bastonetes e Sua Importância Real
Olha só, entender o que são os bastonetes no exame de sangue é dar um passo importante para se sentir mais seguro com seus resultados. Eles não são vilões nem heróis isolados, mas sim indicadores valiosos da atividade do seu sistema imunológico.
A presença de bastonetes, especialmente em maior quantidade, pode ser um sinal de que seu corpo está travando uma batalha importante. Mas lembre-se: um resultado alterado nunca deve ser interpretado sozinho. É a combinação de todos os dados do hemograma com seus sintomas e histórico clínico que guiará o diagnóstico.
Portanto, da próxima vez que vir os bastonetes no seu exame, não se assuste. Use essa informação como um ponto de partida para uma conversa mais informada com seu médico. Ele é o profissional capacitado para interpretar esses números e garantir que você receba o cuidado necessário. Para mais detalhes técnicos, veja a página do Departamento de Patologia Clínica.
Dicas Extras: O que fazer quando o resultado chegar
Antes de entrar em pânico, respire.
Vamos combinar: ver um número fora do padrão assusta qualquer um.
Mas a verdade é que a interpretação correta evita ansiedade desnecessária.
Aqui está seu checklist de ação:
- Peça o laudo completo. Não fique só com o ‘alto’ ou ‘baixo’. Exija os valores absolutos e a porcentagem em relação aos leucócitos totais. Um laboratório sério entrega isso.
- Compare com o valor de referência do próprio laboratório. Isso varia, pode ser até 6% ou 10%. Use o padrão deles, não um genérico da internet.
- Contextualize com seus sintomas. Febre, dor localizada, mal-estar? Conte tudo para o médico. O hemograma sozinho não faz diagnóstico.
- Evite a autossabotagem. Não pesquise ‘causas de bastonetes altos’ e se assuste com as piores hipóteses. A maioria dos casos é infecção bacteriana comum, tratável.
- Anote suas dúvidas. Leve uma lista curta para a consulta: ‘Isso indica infecção ativa?’, ‘Precisa de outro exame?’, ‘O tratamento já está funcionando?’.
O pulo do gato: Um resultado isolado tem pouco valor.
A evolução é que conta. Se repetir o exame em alguns dias, a tendência (subindo ou caindo) fala mais alto que um número solto.
Perguntas Frequentes (FAQ)
Bastonetes altos sempre significam infecção?
Na grande maioria das vezes, sim, indicam uma infecção bacteriana aguda ou um processo inflamatório significativo que está exigindo mais defesa do corpo.
Mas atenção: situações de estresse físico extremo, após cirurgias ou mesmo no pós-parto também podem elevar temporariamente esses neutrófilos jovens. O contexto clínico é fundamental para fechar o diagnóstico.
Qual o valor normal de bastonetes no sangue?
Em adultos saudáveis, a contagem costuma ser baixa, geralmente entre 0% e 6% do total de leucócitos, podendo chegar a 10% dependendo do laboratório.
O importante é que, em condições normais, a medula óssea não precisa liberar muitas células imaturas. Por isso, um aumento persistente acima desses limites é um sinal de alerta que precisa ser investigado.
Bastonetes baixos são perigosos?
Geralmente, não. Níveis baixos ou até a ausência dessas formas jovens no hemograma de rotina não costumam ser clinicamente relevantes.
Pode ser simplesmente um reflexo de que não há uma demanda grande por novas defesas naquele momento. Preocupe-se mais com os neutrófilos totais muito baixos (neutropenia), que sim deixam o organismo mais vulnerável.
Você não é mais refém do laudo
Olha só o caminho que você percorreu.
De uma sigla misteriosa no exame para entender o sinal de alerta mais direto que seu corpo emite.
Bastonetes não são um monstro.
São soldados recrutas. A presença deles em maior número é a prova de que sua defesa interna está trabalhando.
Seu primeiro passo hoje?
Se tiver um resultado em mãos, pare de olhar para o número isolado. Olhe para o conjunto: sintomas, histórico, valor de referência. E marque a consulta para levar essa informação organizada.
Compartilhe essa diga com quem também fica perdido com os termos do hemograma. Às vezes, um pouco de clareza tira um peso enorme das costas.
E me conta aqui nos comentários: depois de entender, qual foi a sua maior surpresa sobre como o corpo avisa que está lutando?

