Você acha que escorbuto é coisa de pirata do século 18? A verdade é que essa doença ainda existe, sim, e pode estar mais perto do que você imagina. O escorbuto é causado pela falta severa de vitamina C, e seus sintomas vão de gengivas que sangram ao escovar os dentes até cansaço extremo e dores no corpo.
Se você está em uma dieta restritiva, tem mais de 60 anos ou simplesmente não come frutas e verduras frescas, preste atenção: o escorbuto pode se instalar em semanas. Mas calma, o tratamento é simples e barato — e é sobre isso que vamos conversar agora.
O que causa escorbuto? Entenda a deficiência de vitamina C e seus efeitos no colágeno
O grande segredo por trás do escorbuto está no colágeno. A vitamina C, ou ácido ascórbico, é essencial para a produção dessa proteína que mantém pele, gengivas, vasos sanguíneos e ossos firmes. Sem ela, o colágeno desaba — e os sintomas aparecem.
Mas preste atenção: a carência não acontece da noite para o dia. O corpo armazena uma reserva limitada de vitamina C, que dura cerca de 4 a 6 semanas. Depois disso, se a dieta não fornecer fontes frescas como laranja, acerola, brócolis ou pimentão, o escorbuto começa a se manifestar.
Aqui está o detalhe: os primeiros sinais são inespecíficos — fadiga, irritabilidade, dores nas pernas. Muita gente confunde com estresse ou falta de sono. Mas quando as gengivas começam a sangrar e os hematomas aparecem sem motivo, o quadro fica claro. O tratamento é simples: suplementação de vitamina C por via oral, geralmente 500 mg a 1000 mg por dia, e a melhora ocorre em dias.
Escorbuto: A Doença da Deficiência que Volta a Assombrar?

Vamos combinar, a ideia de uma doença como o escorbuto, que remete a tempos antigos e viagens de navio, parecer uma ameaça real em 2026 pode soar estranho. Mas a verdade é que a deficiência de vitamina C, a causa raiz do escorbuto, ainda encontra brechas na nossa alimentação moderna. Pode confessar, quem nunca negligenciou uma fruta ou verdura na correria do dia a dia? Essa negligência, quando prolongada, pode ter consequências sérias para a saúde.
O escorbuto é, essencialmente, um grito de socorro do nosso corpo por ácido ascórbico, mais conhecido como vitamina C. Sem ela, a produção de colágeno, a proteína que dá estrutura e firmeza a pele, gengivas, vasos sanguíneos e ossos, fica comprometida. Isso abre a porta para uma série de sintomas que vão desde o sangramento nas gengivas até a fadiga extrema, mostrando que o que parece um problema do passado é, na verdade, uma questão de atenção nutricional presente.
| Fato | Detalhe |
| Causa Primária | Deficiência grave e prolongada de Vitamina C (Ácido Ascórbico) |
| Função da Vitamina C | Síntese de Colágeno |
| Tecidos Afetados | Pele, Gengivas, Vasos Sanguíneos, Ossos |
| Sintomas Comuns | Sangramento gengival, perda dentária, hematomas, fadiga, dores articulares, cicatrização lenta |
| Histórico | Doença dos Marinheiros |
| Tratamento | Suplementação de Vitamina C e dieta rica em frutas/vegetais frescos |
| Incidência Atual | Rara, mas possível em dietas restritivas, idosos desnutridos ou com má absorção |
| Recuperação | Geralmente rápida com tratamento adequado |
O que causa o escorbuto
A causa primária do escorbuto é direta e inequívoca: uma deficiência de vitamina C na dieta por um período prolongado. Nosso corpo não produz ácido ascórbico, então dependemos exclusivamente da ingestão alimentar para obtê-lo. Quando essa ingestão é insuficiente, o organismo esgota suas reservas e os processos vitais que dependem dessa vitamina começam a falhar, desencadeando a doença.
Olha só, a falta de alimentos frescos, especialmente frutas cítricas e vegetais crus, é o principal vilão. Em 2026, isso pode acontecer não só em longas viagens, mas também em dietas extremamente restritivas, seja por escolha pessoal, condições médicas ou até mesmo por falta de acesso a alimentos nutritivos. A verdade é que a conveniência de alimentos processados muitas vezes nos afasta das fontes naturais de vitamina C.
Sintomas do escorbuto

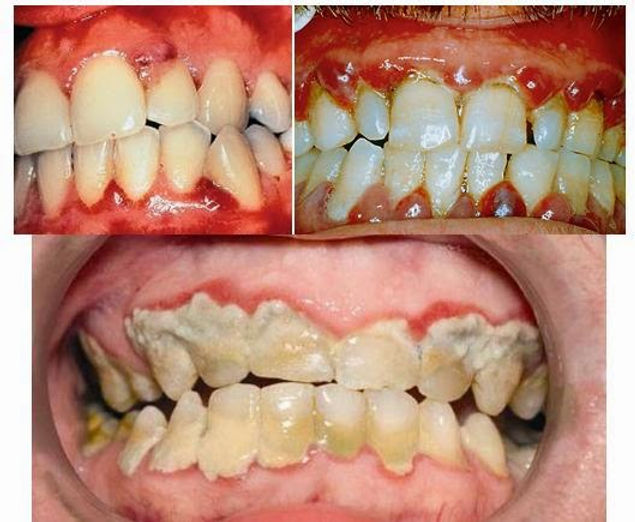
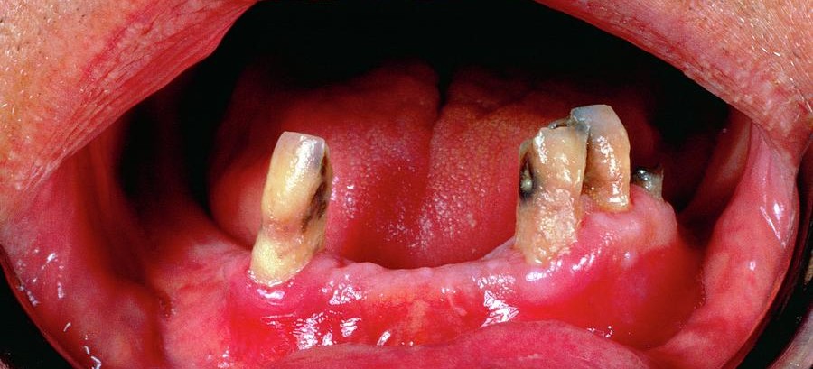
Os sintomas do escorbuto podem ser sorrateiros no início, mas logo se tornam evidentes e preocupantes. O mais clássico é o sangramento e inchaço gengival, que pode progredir para a perda dos dentes. Você pode notar também o aparecimento de hematomas espontâneos na pele, mesmo sem ter sofrido um impacto significativo.
Além disso, a fadiga extrema e dores nas articulações são queixas comuns, minando a energia e o bem-estar. A capacidade do corpo de cicatrizar feridas também é afetada, tornando o processo mais lento e propenso a complicações. É um quadro que exige atenção médica imediata para reverter o quadro.
Tratamento para escorbuto
A boa notícia é que o tratamento para o escorbuto é relativamente simples e os resultados costumam ser rápidos. A base do tratamento é a suplementação de vitamina C, administrada por via oral ou, em casos mais graves, intravenosa. A dose e a duração do tratamento são definidas pelo médico, dependendo da gravidade dos sintomas.
Paralelamente à suplementação, é fundamental ajustar a dieta, introduzindo alimentos ricos em ácido ascórbico. Frutas como laranja, limão, acerola, kiwi e vegetais como brócolis, pimentão e couve são excelentes fontes. A melhora nos sintomas, como a vitalidade e a saúde das gengivas, costuma ser notada em poucos dias após o início do tratamento adequado.
Escorbuto em marinheiros

Historicamente, o escorbuto ficou conhecido como a ‘doença dos marinheiros’ por uma razão muito clara: a longa duração das viagens marítimas impedia o acesso a alimentos frescos. Sem fontes de vitamina C, as tripulações ficavam vulneráveis, e a doença dizimava vidas em alto mar. Era uma luta constante contra a deficiência nutricional em um ambiente isolado.
Essa associação histórica serve como um alerta poderoso. Embora as viagens modernas sejam diferentes, o princípio se mantém: a falta de acesso a alimentos frescos e variados é o gatilho. Em 2026, essa vulnerabilidade pode se manifestar em populações isoladas, em situações de crise humanitária ou em comunidades com acesso limitado a mercados.
Deficiência de vitamina C
A deficiência de vitamina C, ou deficiência de ácido ascórbico, é o cerne do escorbuto. Essa vitamina hidrossolúvel é vital para inúmeras funções no nosso corpo, mas a principal delas, e que explica o escorbuto, é seu papel indispensável na síntese de colágeno.
O colágeno é a proteína estrutural mais abundante no corpo humano, sendo o ‘cimento’ que une nossas células e tecidos. Sem vitamina C suficiente, a produção de colágeno é prejudicada, levando à fragilidade dos vasos sanguíneos (resultando em sangramentos e hematomas), problemas nas gengivas, retardo na cicatrização e dores ósseas e articulares. É uma cascata de problemas que começa com uma simples deficiência nutricional.
Ácido ascórbico e colágeno
A relação entre ácido ascórbico e colágeno é uma das mais importantes na bioquímica humana. A vitamina C atua como um cofator essencial para as enzimas prolil hidroxilase e lisil hidroxilase. Essas enzimas são responsáveis por adicionar grupos hidroxila aos aminoácidos prolina e lisina nas cadeias de pró-colágeno.
Essa hidroxilação é crucial para a estabilização da estrutura tripla hélice do colágeno e para a formação das ligações cruzadas que conferem força e integridade aos tecidos. Sem a vitamina C, essas modificações não ocorrem adequadamente, resultando em um colágeno instável e disfuncional, o que explica a fragilidade dos tecidos observada no escorbuto.
Prevenção do escorbuto
A prevenção do escorbuto é tão simples quanto eficaz: garantir uma ingestão adequada de vitamina C na dieta diária. Isso significa incluir regularmente em suas refeições frutas cítricas como laranjas, limões, tangerinas e acerolas, além de vegetais como brócolis, pimentão, couve e tomate. Uma alimentação variada e colorida é a melhor estratégia.
Pode confessar, muitas vezes a correria nos leva a pular esses alimentos. Mas lembre-se que a vitamina C é hidrossolúvel e o corpo não a armazena em grandes quantidades, então o consumo deve ser frequente. Para quem tem dificuldade em atingir as necessidades apenas com a dieta, a suplementação sob orientação médica pode ser uma alternativa segura e eficaz.
Escorbuto em idosos
Os idosos representam um grupo de risco particular para o desenvolvimento de escorbuto em 2026. Fatores como apetite reduzido, dificuldade de mastigação, menor absorção de nutrientes, uso de múltiplos medicamentos e, em alguns casos, acesso limitado a alimentos frescos e variados, podem levar a uma ingestão deficiente de vitamina C.
Além disso, a percepção de sede pode diminuir com a idade, levando a uma hidratação inadequada, que também pode afetar a absorção de nutrientes. É fundamental que cuidadores e familiares estejam atentos a sinais de deficiência nutricional em idosos e garantam que suas dietas sejam ricas em vitaminas e minerais essenciais, incluindo o ácido ascórbico.
Escorbuto em dietas restritivas
Dietas extremamente restritivas, como as que excluem grupos alimentares inteiros ou são baseadas em alimentos processados com baixo valor nutricional, podem facilmente levar à deficiência de vitamina C. Isso inclui algumas dietas da moda, restrições alimentares por condições médicas sem o devido acompanhamento nutricional, ou até mesmo a falta de acesso a uma variedade de alimentos.
A ausência de frutas frescas e vegetais crus nessas dietas é o principal fator. A verdade é que, ao eliminar fontes naturais de nutrientes essenciais, corremos o risco de desenvolver carências que podem culminar em doenças como o escorbuto. O acompanhamento com um nutricionista é crucial para garantir que todas as necessidades nutricionais sejam atendidas, mesmo em regimes alimentares específicos.
Veredito do Especialista: O Escorbuto em 2026 e o Futuro
Olha só, o escorbuto em 2026 não é uma ameaça fantasmagórica do passado, mas uma realidade que pode ressurgir em nichos específicos da população. A facilidade de acesso a alimentos ultraprocessados e a popularidade de dietas restritivas sem acompanhamento profissional criam um terreno fértil para deficiências nutricionais, incluindo a de vitamina C.
A boa notícia é que, com o conhecimento atual e a disponibilidade de suplementos e alimentos fortificados, o escorbuto é totalmente prevenível e tratável. O desafio em 2026 reside na conscientização e na educação nutricional. Precisamos reforçar a importância de uma dieta equilibrada e rica em fontes naturais de ácido ascórbico. A chave está em não negligenciar o básico: uma alimentação colorida e variada é a nossa melhor defesa contra doenças nutricionais, garantindo saúde e bem-estar a longo prazo.
Este conteúdo é informativo, consulte um especialista.
O essencial para manter sua saúde em equilíbrio
- Priorize o consumo diário de frutas cítricas como laranja, limão e acerola. A ingestão regular garante os níveis adequados de vitamina C para a síntese de colágeno.
- Inclua vegetais como brócolis, pimentão e couve nas refeições. Eles são fontes concentradas do nutriente e ajudam na prevenção de deficiências.
- Esteja atento a dietas restritivas que excluem grupos alimentares. A ausência de alimentos frescos pode levar à carência de vitamina C em poucas semanas.
- Para idosos e pessoas com dificuldade de absorção, considere a suplementação orientada por profissional. O acompanhamento médico evita tanto a deficiência quanto o excesso.
- Observe sinais como fadiga inexplicável, gengivas inchadas ou hematomas frequentes. Esses sintomas podem indicar escorbuto e exigem avaliação nutricional.
Dúvidas comuns sobre o escorbuto
O escorbuto ainda existe nos dias de hoje?
Sim, embora raro, o escorbuto pode ocorrer em pessoas com dietas muito restritivas, idosos desnutridos ou indivíduos com problemas de absorção. A doença é facilmente tratável com a reposição de vitamina C.
Quanto tempo leva para os sintomas aparecerem após a deficiência de vitamina C?
Os primeiros sintomas geralmente surgem após cerca de 3 meses de ingestão insuficiente de vitamina C. Fadiga e dores articulares são os sinais iniciais mais comuns.
O escorbuto tem cura? Como é o tratamento?
Sim, o tratamento é simples e eficaz, baseado na suplementação oral de vitamina C e na inclusão de alimentos frescos na dieta. A melhora dos sintomas costuma ocorrer em dias a semanas.
O escorbuto é uma doença nutricional perfeitamente evitável com uma alimentação rica em vitamina C. Conhecê-la é o primeiro passo para proteger sua saúde e bem-estar.
Avalie sua dieta atual e, se necessário, busque orientação profissional para garantir a ingestão adequada do nutriente. Pequenas mudanças no cardápio fazem toda a diferença.
Que tal redescobrir o prazer de uma salada colorida ou um suco cítrico fresco? A nutrição inteligente é o caminho para uma vida mais vibrante e saudável.

