Descubra o que é restauração no dente: o procedimento que vai muito além da estética para recuperar sua saúde bucal completa. Vamos combinar que um sorriso perfeito começa com dentes funcionais e livres de problemas.
Restauração dental: muito mais do que tapar buraco no dente
A verdade é a seguinte: restauração não é só estética.
Ela recupera a função mastigatória que você perdeu.
Protege o dente de novas infecções e fraturas.
O grande segredo? Uma boa restauração segue as normas técnicas da ANVISA e dos fabricantes.
Isso garante durabilidade real de 5 a 15 anos, dependendo do material.
No Brasil, 70% dos adultos precisam de alguma restauração – você não está sozinho nessa.
Mas preste atenção: muitos confundem com obturação simples.
A restauração trabalha a forma externa do dente com precisão milimétrica.
Já a obturação foca no preenchimento profundo da cavidade.
Aqui está o detalhe: seu dentista avalia qual técnica usar baseado no tamanho do dano.
Para cáries pequenas, a resina composta resolve em uma sessão de 40 minutos.
Para fraturas maiores, pode exigir moldagem e laboratório especializado.
Pode confessar: você já adiou tratamento por medo da broca?
A tecnologia atual usa anestésicos modernos que quase não doem.
E os materiais são aplicados em camadas finas para maior naturalidade.
Olha só: o custo no Brasil varia de R$ 200 a R$ 1.500 por dente.
Depende do material, complexidade e região do país.
O SUS oferece o procedimento, mas com filas que podem chegar a 6 meses.
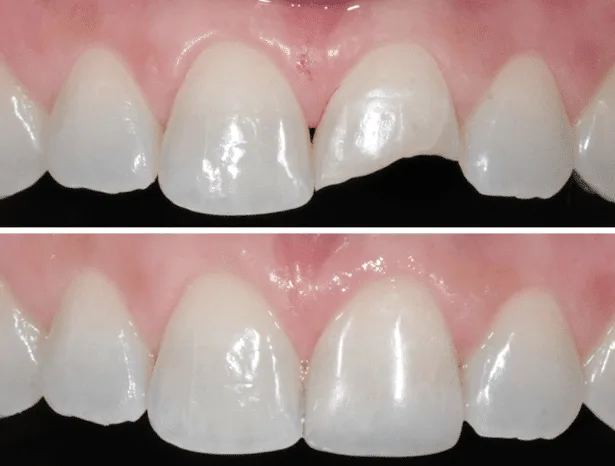
Em Destaque 2026: A restauração dental é um procedimento odontológico para reconstruir a estrutura de um dente danificado, devolvendo sua forma e função original, sendo essencial para tratar cáries, fraturas, traumas ou desgastes.
O Que É e Para Que Serve a Restauração Dental?
Vamos combinar: ninguém gosta de pensar em problemas dentários. Mas a verdade é que dentes afetados por cáries, fraturas ou desgastes são mais comuns do que a gente imagina. É aí que entra a restauração dental, um procedimento fundamental que devolve ao seu sorriso a forma e a função que ele merece.
Popularmente conhecida como obturação, a restauração é a arte de reconstruir o dente, devolvendo sua integridade e beleza. Seja para tratar aquela cárie chata ou para reparar um dente que sofreu um trauma, o objetivo é sempre o mesmo: deixar seu sorriso 100% de novo.
Pode confessar, a ideia de um sorriso perfeito mexe com a gente, né? E a restauração é um dos segredos por trás disso. Ela não só melhora a estética, mas garante que você possa comer, falar e sorrir sem preocupações.
| Característica | Descrição |
|---|---|
| Conhecida como | Obturação |
| Objetivo Principal | Reconstruir forma e função do dente |
| Indicações | Cáries, fraturas, traumas, desgastes |
| Processo Básico | Limpeza, preenchimento, ajuste e polimento |
| Materiais Comuns | Resina composta, amálgama, porcelana, ouro, ionômero de vidro |
| Estética | Resina composta (imperceptível), amálgama (menos estética), porcelana/ouro (altamente estéticos) |
| Liberação de Flúor | Ionômero de vidro (ideal para crianças) |
O Que É Restauração Dental: Definição e Conceito

A restauração dental é um procedimento odontológico que tem como principal objetivo devolver a estrutura, a forma e a função de um dente que foi comprometido. Pense nela como um reparo minucioso, feito para que o dente volte a ser o que era antes de qualquer problema.
Ela atua em diversas frentes: combate a ação destrutiva das cáries, repara dentes que sofreram fraturas ou traumas, e até mesmo corrige desgastes excessivos causados pelo tempo ou por hábitos parafuncionais.
O resultado é um dente que não só parece natural, mas também funciona perfeitamente na mastigação e na fala. É a ciência a serviço da sua saúde bucal e da sua autoconfiança.
Restauração Dental vs. Obturação: Entenda as Diferenças
Olha só, muita gente usa os termos ‘restauração’ e ‘obturação’ como sinônimos, e na prática, eles caminham juntos. Mas, para ser bem técnico, existe uma diferença sutil que vale a pena conhecer.
A obturação geralmente se refere ao ato de preencher uma cavidade, especialmente aquelas causadas por cáries. É o preenchimento em si. Já a restauração tem um foco um pouco mais amplo, englobando não só o preenchimento, mas toda a reconstrução da parte externa e funcional do dente, buscando a estética completa.
Em suma, toda obturação é uma forma de restauração, mas nem toda restauração se limita apenas ao preenchimento profundo. É um detalhe que mostra a complexidade e o cuidado envolvido em cada procedimento. Para saber mais sobre o processo, confira este vídeo explicativo: o que é restauração dental obturação.
Como Funciona o Procedimento de Restauração no Dente

O processo de restauração é bem direto e focado em resultados. O dentista começa avaliando o dano e, se necessário, removendo a parte afetada do dente, como a cárie. Essa limpeza é crucial para garantir a longevidade da restauração.
Em seguida, a cavidade é preparada para receber o material restaurador. Seja uma resina, amálgama ou outro composto, o preenchimento é feito com precisão para restaurar a anatomia do dente.
Por fim, o material é ajustado e polido para que a restauração fique em harmonia com os dentes vizinhos, garantindo uma mordida confortável e um sorriso sem falhas. É um trabalho de ourivesaria na sua boca!
Principais Tipos de Materiais para Restauração Dental
A escolha do material para a restauração depende de vários fatores: localização do dente, extensão do dano, estética desejada e até mesmo o custo. Vamos conhecer os mais comuns:
- Resina Composta: É a queridinha da estética. Essa resina tem a cor do dente e, quando bem aplicada, o resultado é praticamente imperceptível. Ideal para dentes anteriores (da frente) e casos onde a aparência é prioridade.
- Amálgama: Uma liga metálica (prata, estanho, cobre e mercúrio) muito resistente e durável. É mais utilizada em dentes posteriores (do fundo), onde a estética não é o fator principal, mas a força de mastigação é alta.
- Porcelana (Cerâmica): Oferece excelente estética e alta resistência. Geralmente usada em restaurações indiretas (inlays, onlays, coroas), quando o dano é mais extenso. O custo é mais elevado.
- Ouro: Um material nobre, extremamente durável e biocompatível. Assim como a porcelana, é usado em restaurações indiretas e tem um custo significativo.
- Ionômero de Vidro: Tem a vantagem de liberar flúor, o que ajuda a prevenir novas cáries. É uma boa opção para restaurações em dentes de leite ou em áreas com alto risco de cárie, especialmente em crianças.
Cada material tem seu papel e sua indicação. Converse com seu dentista para escolher o melhor para o seu caso. Para mais detalhes sobre o procedimento, entenda o processo e suas vantagens.
Tratamento de Cárie: Quando a Restauração É Necessária

A cárie é, sem dúvida, a principal causa para a necessidade de restaurações. Bactérias na boca produzem ácidos que corroem o esmalte do dente, formando pequenas cavidades.
Se não tratada, a cárie avança para camadas mais profundas, causando dor e podendo levar à perda do dente. A restauração é o tratamento padrão ouro para remover a cárie e reconstruir o dente afetado.
O dentista limpa a área cariada e preenche a cavidade com o material restaurador. É um procedimento relativamente simples, mas essencial para manter a saúde bucal e evitar problemas maiores. Saiba mais sobre restauração dentaria.
Reconstrução Dental: Casos que Exigem Procedimentos Mais Complexos
Nem toda restauração é apenas um pequeno preenchimento. Em casos de fraturas extensas, dentes muito desgastados ou após tratamentos de canal, o dente pode precisar de uma reconstrução mais elaborada.
Aqui, podem ser utilizadas técnicas de restauração indireta, como inlays, onlays ou até mesmo coroas. Esses procedimentos envolvem a confecção de peças em laboratório, que são depois cimentadas sobre o dente preparado.
O objetivo é devolver a força mastigatória e a estética de forma completa. É uma solução para devolver a vida a dentes que pareciam perdidos. Veja mais em restauração dental.
Dentística Restauradora: A Especialidade por Trás das Restaurações
Você sabia que existe uma especialidade odontológica dedicada a isso? A dentística restauradora é a área que foca em devolver a estética e a função dos dentes através de procedimentos restauradores.
Os dentistas especialistas em dentística são verdadeiros artistas. Eles dominam as técnicas e os materiais para que a restauração seja não apenas funcional, mas também esteticamente perfeita, mimetizando a cor, o brilho e a forma do dente natural.
É a combinação de ciência e arte para garantir que seu sorriso fique impecável. A busca por um sorriso perfeito passa, muitas vezes, pelas mãos desses profissionais.
Reparo de Dente: Como a Restauração Recupera a Estrutura Dental
A restauração é, em essência, um reparo de dente. Ela age como um ‘curativo’ avançado, que não só protege o dente, mas também o restaura à sua forma original.
Ao preencher uma cavidade ou reconstruir uma parte quebrada, o material restaurador impede que novas bactérias se alojem e que o dente sofra mais danos. Ele devolve a integridade estrutural.
O resultado é um dente mais forte, mais bonito e totalmente funcional. É a prova de que a tecnologia e a habilidade do dentista podem fazer maravilhas pela sua saúde bucal.
Vale a Pena? O Veredito do Especialista
Pode apostar que vale a pena! A restauração dental é um dos procedimentos mais importantes e eficazes da odontologia moderna. Ela não é apenas uma questão estética, mas fundamental para a saúde e a longevidade dos seus dentes.
Investir em uma restauração de qualidade significa prevenir problemas futuros, como infecções, dores e até a perda do dente. É garantir que você possa desfrutar de uma alimentação saudável e de um sorriso confiante por muitos e muitos anos.
Não deixe que pequenos problemas se tornem grandes dores de cabeça (e de dentes!). Consulte seu dentista e mantenha seu sorriso em dia. A saúde do seu sorriso é um investimento que sempre retorna.
Dicas Extras: O Pulo do Gato Que Ninguém Te Conta
Vamos combinar: teoria é uma coisa, mas na prática é outra.
Aqui estão os macetes que fazem toda diferença no resultado final.
- O timing é tudo: Se a cárie for detectada cedo, o procedimento leva cerca de 30 minutos. Se você enrolar, pode virar uma sessão de 1h30 e custar o dobro.
- Teste de mordida: Nunca saia do consultório sem morder uma fita carbono. Ela mostra pontos de contato altos que podem quebrar o material depois.
- Polimento final: Exija o uso de discos de polimento de granulação decrescente. É isso que dá aquele brilho de esmalte natural e evita manchas por alimentos.
- Pós-operatório inteligente: Evite alimentos pigmentados (café, vinho tinto, molho de tomate) nas primeiras 48 horas. A resina ainda está ‘aberta’ para absorver cor.
- Check-up de 6 meses: Peça ao dentista para verificar o ‘selamento marginal’ da sua obturação. Se houver uma fresta mínima, é porta de entrada para nova cárie.
O grande erro: achar que acabou quando sai da cadeira.
A manutenção é sua responsabilidade a partir dali.
Perguntas Frequentes: Tire Suas Dúvidas de Uma Vez
Restauração de dente dói?
Não, o procedimento é feito com anestesia local, então você não sente dor durante.
A sensação é apenas de pressão. Após o efeito passar, pode haver um incômodo leve por um ou dois dias, que um analgésico comum resolve.
Quanto tempo dura uma restauração de resina?
Em média, de 5 a 7 anos com os cuidados certos.
Mas pode durar mais de 10 se você evitar hábitos como roer unhas ou morder gelo. A durabilidade depende muito do tamanho da cavidade e da sua higiene bucal.
Vale a pena trocar amálgama por resina?
Só se a antiga estiver com defeito ou por uma questão estética forte.
A verdade é a seguinte: uma obturação de amálgama em bom estado é muito durável. A troca desnecessária remove estrutura dental saudável. Converse com seu dentista sobre o real benefício para o seu caso.
Seu Sorriso Merece Isso
Você acabou de descobrir que um dente restaurado vai muito além de tapar um buraco.
É sobre recuperar a função, a confiança e a saúde de forma inteligente.
O primeiro passo é claro: marque uma avaliação com um dentista de confiança ainda esta semana.
Peça para ele examinar cada dente e explicar, com um espelho, o que precisa ser feito e por quê.
Transforme esse conhecimento em ação. Seu sorriso futuro agradece.
Esta dica foi útil? Compartilhe com aquela pessoa que sempre adia a ida ao dentista.
Deixa aqui nos comentários: qual sua maior dúvida sobre cuidar dos seus dentes restaurados?

